- Cos’è la leucemia acuta?
- Sintomi della leucemia acuta
- Quanto si vive con la leucemia acuta?
- Cosa provoca la leucemia acuta?
- Fattori di rischio
- Diagnosi di leucemia acuta
- Quale cura è possibile?
Cos’è la leucemia acuta?
↑ topLa leucemia acuta è una tipologia di tumore che colpisce le cellule del sangue. Si sviluppa all’interno del midollo osseo, e poi arriva ad interessare:
- sangue
- sistema linfatico
- alcuni organi.
Dal momento che è un tumore del sangue, viene definita anche neoplasia ematologica. L’aggettivo “acuta” fa riferimento alla velocità e all’aggressività con cui questo tipo di leucemia progredisce.
Le leucemie acute vengono distinte in due gruppi principali:
- leucemia linfoblastica acuta (LLA), il tipo di neoplasia ematologica che colpisce maggiormente i bambini
- leucemia mieloide acuta (LMA), più tipica dell’età adulta.
Un sottotipo di leucemia mieloide acuta è rappresentato dalla leucemia promielocitica acuta, definita anche leucemia fulminante. Questo sottotipo di leucemia acuta si caratterizza per anomalie che interessano i promielociti, cellule immature del sangue, e si accompagna ad alterazioni della coagulazione che causano un elevatissimo rischio di sanguinamenti e contemporaneamente la formazione di coaguli nel sangue.
Prenota una visita ematologica
Sintomi della leucemia acuta
↑ topI principali sintomi possono includere:
- affaticamento e debolezza eccessivi
- febbre e sudorazioni notturne
- perdita di peso involontaria
- dolore osseo o articolare
- gonfiore dei linfonodi, soprattutto nel collo, nelle ascelle o nell’inguine
- facile comparsa di lividi o sanguinamenti, come naso o gengive che sanguinano
- pallore della pelle
- infezioni frequenti
- mancanza di respiro
- dolore addominale o gonfiore, soprattutto a causa di un fegato o una milza ingrossati.
Quanto si vive con la leucemia acuta?
↑ topPer quanto riguarda la prognosi, in assenza di trattamento i pazienti affetti da leucemia acuta non hanno particolare speranza di sopravvivenza, perché il decesso tende ad arrivare dopo alcune settimane o mesi rispetto alla diagnosi.
Attualmente esistono trattamenti, come sarà approfondito in seguito, che comprendono la chemioterapia, l’immunoterapia e il trapianto di midollo osseo da donatore sano che possono portare a guarigione il paziente affetto da leucemia acuta in una proporzione variabile, a seconda del tipo di malattia e dell’età e delle comorbidità del paziente. Un paziente giovane e altrimenti sano ha una maggiore probabilità di guarigione con le nuove terapie attualmente disponibili.
Cosa provoca la leucemia acuta?
↑ topAttualmente non sono note le cause che portano all’insorgenza di questo tipo di tumore del sangue. È stata ipotizzata una predisposizione genetica, ma esistono anche fattori di rischio ambientali come l’esposizione prolungata a benzene.
Nel processo di sviluppo della leucemia acuta le cellule malate, i cosiddetti blasti, cominciano a riprodursi velocemente nel midollo osseo, sottraendo spazio alla produzione dei normali globuli bianchi, rossi e piastrine, che tendono dunque a diminuire nel sangue periferico.
La riduzione delle piastrine porta ad un aumentato rischio di sanguinamento; la riduzione dei globuli rossi porta ad anemia, con conseguente stanchezza, tachicardia, mancanza di fiato sotto sforzo. La riduzione della produzione dei globuli bianchi causa una aumentata suscettibilità alle infezioni. In più, le cellule leucemiche entrano in circolo fino a raggiungere i tessuti degli altri organi, continuando comunque a riprodursi e interferendo con la funzione degli organi interessati.
Fattori di rischio
↑ topSebbene non siano note le cause per le quali questo tipo di leucemia può manifestarsi, possono essere indicati alcuni fattori di rischio:
- esposizione ad alcuni farmaci chemioterapici
- patologie ematologiche quali le sindromi mielodisplasiche
- patologie genetiche come la sindrome di Down
- esposizione a livelli di radiazione importanti o pregressa radioterapia
- esposizione, protratta nel tempo, di sostanze chimiche ad alte concentrazioni usate in contesto industriale. Si pensi al benzene, già indicato o alla formaldeide
- l’avere avuto in famiglia casi di leucemia.
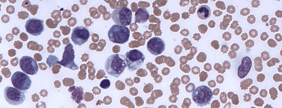
Diagnosi di leucemia acuta
↑ topLa diagnosi di leucemia mieloide acuta richiede una serie di esami. Vengono innanzitutto svolti l’esame emocromocitometrico e lo striscio di sangue periferico, così da intercettare anomalie nel conteggio dei globuli bianchi, dei globuli rossi e delle piastrine, oltre alla presenza di cellule leucemiche immature.
Seguono l’aspirato e la biopsia del midollo osseo che consentono una valutazione più dettagliata. Infatti, viene esaminata la morfologia delle cellule midollari e vengono condotte analisi citofluorimetriche, citogenetiche e molecolari. Questi studi sono essenziali per determinare il tipo di malattia, il trattamento specifico e la prognosi. Inoltre, alcune anomalie molecolari responsabili dell’insorgenza della leucemia acuta, possono essere seguite nel corso del tempo in qualità di marcatori di risposta alle terapie.
Quale cura è possibile?
↑ topIl trattamento della leucemia mieloide acuta è calibrato su fattori quali:
- età del paziente
- presenza di copatologie al momento della diagnosi
- sottotipo di leucemia.
La terapia di scelta per i pazienti giovani e senza copatologie è la chemioterapia, secondo protocolli condivisi da centri specializzati in ematologia, oggigiorno in associazione a terapie mirate a seconda del sottotipo di leucemia. Nei pazienti con età di 65 anni o con copatologie gravi, possono essere scelte delle terapie meno intensive che si avvalgono di “ipometilanti, per riprisinare una normale espressione genica, in associazione a nuovi farmaci orali.
Nel caso della leucemia promielocitica acuta, nei pazienti con leucemia definita a rischio basso intermedio, è utilizzato un approccio senza chemioterapici, a base di triossido di arsenico e acido all-trans retinoico; trattamento altamente efficace e a ridotta tossicità.
Altri trattamenti possono includere trapianto di midollo osseo e immunoterapia, che possono essere utilizzate in determinati casi a seconda della risposta individuale al trattamento e della prognosi. Nella maggior parte dei casi sono necessarie trasfusioni di sangue e piastrine, perché sia la leucemia acuta che le terapie possono abbassare notevolmente i valori emocromocitometrici.
Per la leucemia linfoblastica acuta, i trattamenti si avvalgono di chemioterapici standard e di immunoterapie (blinatumomab, inotuzumab), che vengono calibrate a seconda della tipologia di leucemia e dell’età del paziente. Per la leucemia linfoblastica acuta B Philadelphia positiva, vengono utilizzati farmaci orali specifici, imatinib e inibitori di nuova generazione, in associazione a steroidi e a chemioterapici a basse dosi.
Prenota una visita ematologica
Approccio con trapianto di cellule staminali
↑ topIl trapianto di cellule staminali emopoietiche viene eseguito, nel caso delle leucemie acute, da un donatore sano e viene pertanto chiamato trapianto allogenico. Il donatore può essere un familiare o un donatore iscritto al registro nazionale/internazionale, che sia risultato compatibile con il paziente affetto da leucemia acuta.
La decisione di procedere a un trapianto allogenico dipende dal tipo di leucemia in base al rischio, all’età e alle condizioni del paziente, e richiede un colloquio approfondito con gli specialisti.